Entretenimento
O Ministério dos Direitos Humanos está acompanhando o caso de um homem em situação de rua que foi agredido com um taser por estudantes de Direito em Belém. A agressão, filmada e divulgada nas redes so
O relator da CPI do Crime Organizado pediu o arquivamento de uma ação movida por Gilmar Mendes à PGR. O senador responsável pela relatoria alega que sua atuação na comissão seguiu estritamente a Const
Um estudo recente da University of Nebraska-Lincoln sugere que o Nanotyrannus, um dinossauro carnívoro, era uma espécie distinta e não um Tyrannosaurus Rex juvenil. A análise de um osso hióide do fóss
Um fóssil de esponja marinha de 550 milhões de anos está ajudando cientistas a entender a evolução inicial desses animais. A descoberta preenche uma lacuna de 160 milhões de anos no registro fóssil e


Escolha do Editor
Um estudo realizado na Suécia demonstra o potencial da inteligência artificial (IA) para identificar indivíduos com maior risco ...
Uma réplica do esqueleto de um "crocodilo terror" de 9,45 metros, o Deinosuchus schwimmeri, está agora em exibição ...
A possibilidade de um El Niño em 2026 acende o alerta para potenciais impactos no clima global, na ...
O Supremo Tribunal Federal (STF) vai decidir no dia 22 de abril se mantém a prisão do ex-presidente ...
Notícias Recentes
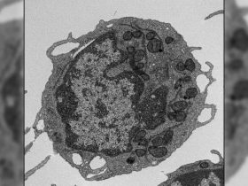
Cientistas brasileiros aprimoraram células de defesa para combater o câncer de forma mais eficaz. A pesquisa, realizada no Centro de Terapia Celular (CTC) e Hemocentro de Ribeirão Preto, utilizou a li
Leia Também
Destaques do Mês
Cientistas do Indian Institute of Science (IISc) descobriram que elétrons em grafeno podem fluir como um líquido quase sem atrito, desafiando uma lei fundamental da física. A pesquisa, publicada na Na
Uma pesquisa da Universidade de Rochester revelou que os oceanos podem estar liberando metano em quantidades maiores do que se pensava, acelerando o aquecimento global. O estudo identificou que micrób
O site Olhar Digital encontrou diversas ofertas de smartphones 5G no Mercado Livre, incluindo modelos da Motorola, Samsung Galaxy, Realme e Infinix. Essa é uma ótima oportunidade para quem busca um no
O Banco da Inglaterra prevê que a crise energética, intensificada pela guerra no Oriente Médio, elevará a inflação globalmente, tornando improvável cortes nas taxas de juros no Reino Unido até 2026. O
A Prime Video renovou oficialmente a série "Jovem Sherlock" para uma segunda temporada, após o sucesso da primeira, que alcançou 45 milhões de visualizações em 28 dias. Guy Ritchie retorna como produt
Mais Últimas Notícias
Novo Recorde: Em 2026, com a finalização da Torre de Jesus Cristo (172,5m), tornou-se a ...


A Polícia Federal aponta o cantor MC Ryan SP como líder de ...
Notícias Populares
Tecnologia
Mais Lidas do Mês
Uma pesquisa recente revelou que uma adaptação genética presente em animais de alta altitude, como iaques e antílopes tibetanos, pode ser a chave para reparar danos nos nervos em humanos. A mutação ge
Um fóssil de crânio de dinossauro, inicialmente considerado um espécime de baixa qualidade, revelou uma nova espécie chamada Ptychotherates bucculentus, que significa "caçador dobrado com bochechas ch
A Physical Intelligence, startup de robótica sediada em São Francisco, desenvolveu um modelo de IA que permite a robôs executar tarefas para as quais não foram explicitamente treinados. O modelo π0.7
O presidente da Câmara dos Deputados, Hugo Motta, anunciou que seguirá com a votação da PEC da 6x1, que visa reduzir a jornada de trabalho, mesmo com o envio de um PL do governo federal em regime de u
Um novo estudo indica que manter a mente ativa ao longo da vida, através de atividades como leitura, escrita e aprendizado de novos idiomas, pode estar associado a um risco menor de desenvolver Alzhei
Uma pesquisa recente revelou uma fonte inesperada de lítio: a pirita, também conhecida como "ouro de tolo", presente em rochas de xisto antigas. A descoberta, feita por cientistas da West Virginia Uni
Fique por dentro das novidades
Sua mensagem será enviada diretamente para nossa equipe, que responderá o mais breve possível.
Últimas Notícias
Um estudo do MIT revelou que o vazamento de produtos químicos industriais, utilizados como matérias-primas (feedstocks), pode atrasar a recuperação da camada de ozônio em até sete anos. Apesar do suce
Um estudo recente revelou que a metformina, um medicamento barato e amplamente utilizado para diabetes tipo 2, pode ajudar pessoas com diabetes tipo 1 a reduzir a quantidade de insulina que precisam.
A ONU Mulheres lançou o movimento “Voz Ativa” e a hashtag para mudar a forma como a mídia cobre casos de violência contra a mulher. A proposta central é substituir a voz passiva pela ativa, explicitan
Quer economizar na compra de sets Lego? A marca oferece cupons de desconto de até 80% em diversas linhas, incluindo Star Wars, Harry Potter, Lego Fortnite e Lego Fórmula 1. Os cupons podem ser encontr





































